“要不就在郑州这边复查算了,广州实在太远了。”
“我哪都不去,我‘死’也要‘死’在复大。”
这斩钉截铁的语气,出自一位曾被宣判“死刑”的肝癌患者——勇哥(化名)。
隐匿杀手:从忽视体检到确诊肝癌
今年五一劳动节,本应是休息的日子,勇哥却因劳累出现上气不接下气、气短,食欲也急剧减退。其实早在之前,他就有过上腹部疼痛的症状,但没有当回事。当地医院的检查结果犹如晴天霹雳:原发性肝癌IIIB期,肝部肿瘤最大直径已达11厘米,双肺出现继发性恶性肿瘤。
此外,另一项引起医生关注的检查结果是:乙肝和肝硬化。
“老家的医生说,我这乙肝应该很久了,要是十年前就能发现,定期检查,肯定不会发展到肝癌这一步。”勇哥的话语中透着深深的遗憾。他常年在外打工,从未体检过,偶尔发烧不适也从不在意,直到此刻,疾病已步入中晚期。
在我国,乙肝病毒感染是导致肝癌的首要原因,约80%至90%的肝癌患者携带乙肝病毒。这种病毒如同潜伏在肝脏的隐形杀手,一步一步侵蚀肝脏健康。其致病过程通常遵循“肝炎-肝硬化-肝癌”的“三部曲”,逐步恶化,难以逆转。少数情况下,肝炎甚至可能跳过肝硬化阶段,直接发展为肝癌。
至暗时刻:生命“只剩两个月”
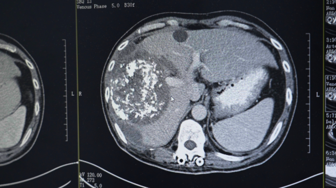
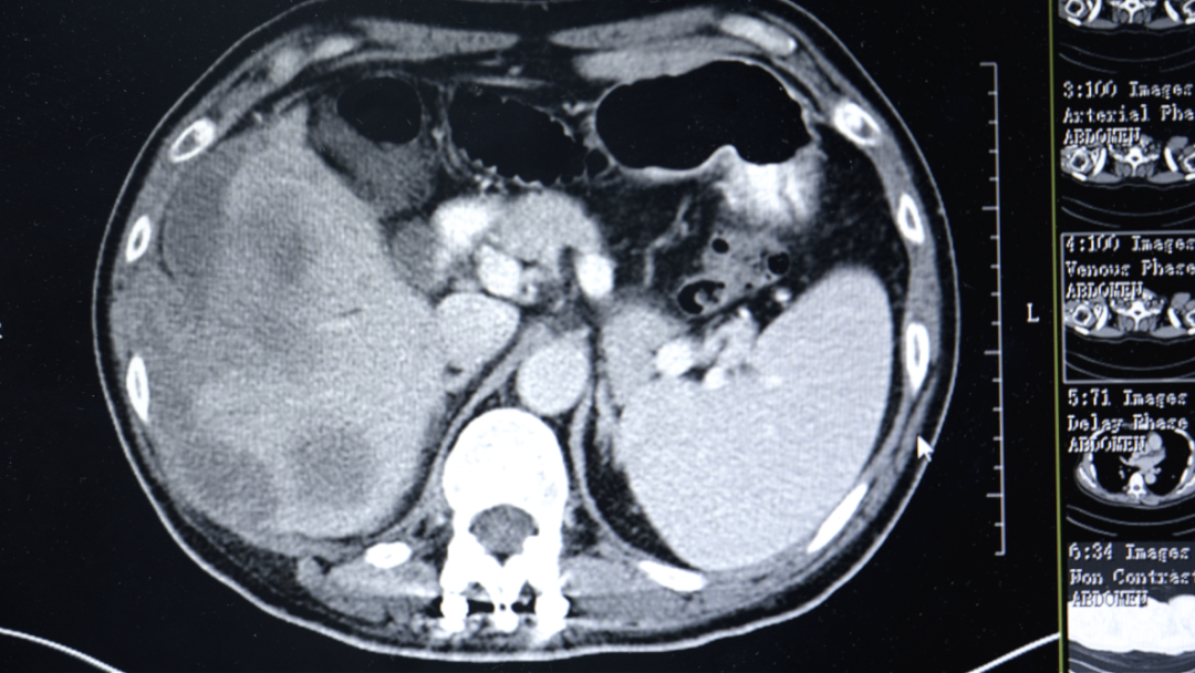
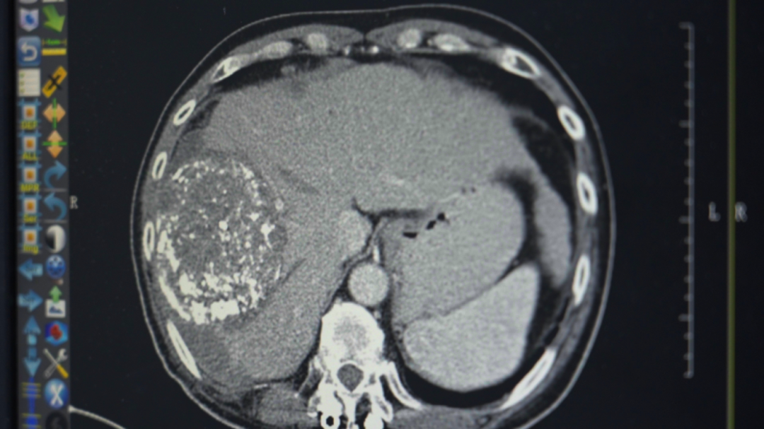
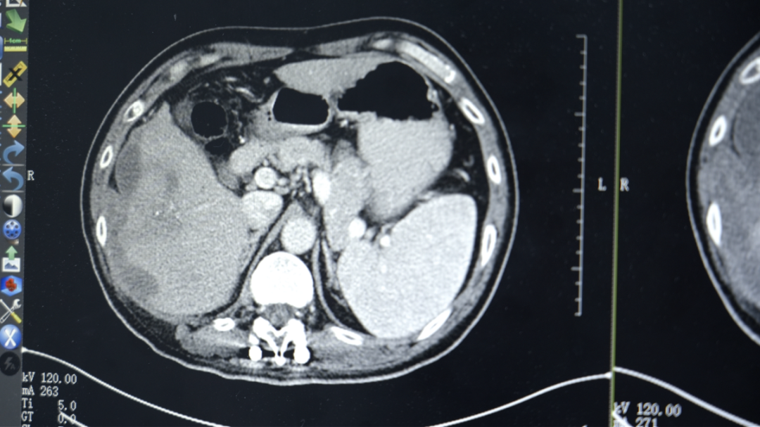
在当地医院,勇哥接受了一次介入灌注化疗栓塞术,但反应剧烈,“反复发烧,烧了足足半个月”。好不容易烧退了,复查结果却更令人绝望:肝脏病灶扩大到13.2厘米,肺转移瘤增多,肝门区、腹腔淋巴结密密麻麻。医生跟他说肿瘤扩散太广,无法手术,最多只剩“两个月时间”。
“那时,我躺在病床上,食欲全无,肝痛得直打滚,完全依赖止痛药,痛苦不堪。”就在几乎放弃之际,转机出现了。一位曾因乳腺癌与广州复大肿瘤医院结缘的朋友,极力推荐他前往求医。抱着最后一线希望,勇哥与妻子在线上联系了复大医护人员,于7月1日抵达医疗六科。
柳暗花明:精准治疗转生机
入院相关检查显示,勇哥的甲胎蛋白指标高达12.8万ng/ml(正常值<7ng/ml),肝功能评估为Child-Pugh B级(肝功能处于中度损害)。医疗六科李红梅主任团队根据他的具体情况,结合原发性肝癌CSCO指南,制定了靶向联合免疫的个性化治疗方案。


“吃了药,打了针,不怎么疼了,能吃饭能睡觉了。”几个疗程后,勇哥的生活质量明显改善。复查结果显示肿瘤得到控制,甲胎蛋白降至1.8万ng/ml。考虑到肝脏上病灶负荷太大,且紧靠周边,出血风险比较高,李红梅主任还是建议他进行肝动脉灌注化疗术(HAIC)。
与之前痛苦的介入治疗经历不同,这次他几乎没有副反应。“除了体质改善,还要感谢医护人员的预防措施。”治疗结束后,勇哥的胃口恢复正常,体重也逐渐回升。“吃得可多了,我老婆都叫我‘饭桶’了!”他笑着说。周围人也惊讶于他的变化——原本黄白的脸色渐渐有了红润。


第三次回院复查时,勇哥的甲胎蛋白已降至800多,CT显示肝癌及肝内多发转移瘤、双肺转移瘤及大网膜转移瘤都较前缩小,无新发病灶,病情评价为稳定(SD)。“这次做介入治疗时,医生告诉我肝上肿瘤基本没有活性了。”勇哥的声音中带着久违的轻松。
生死相托:我只在复大
眼见父亲日渐好转,孩子心疼父母奔波劳苦,劝他们在当地复查即可。但勇哥夫妇态度坚决:“复大的医术精湛,医德高尚。虽然离家远,但这里设施齐全,像家一样温暖。”更重要的是,“复大给了我第二次生命——现在已经远远超出当初说的‘两个月期限’了。”所以,无论如何,他都会选择复大。

生命警钟:早筛早查,远离癌症
勇哥的故事也敲响了健康的警钟。我国有近7000万乙肝病毒携带者,他们中的许多人像勇哥一样,因忽视定期检查而错失早期干预时机。肝癌的进展往往隐匿,等到出现症状时,多为中晚期。
李红梅主任提醒:
- 如果您是乙肝患者,建议每3~6个月检查一次,检查包括HBV DNA病毒、肝功能、乙肝五项、甲胎蛋白和肝脏彩超等项目;
- 如果您有肝癌家族史,请将筛查年龄提前至40岁;
- 避免饮酒、保持健康体重、接种乙肝疫苗;
- 出现不明原因的疲劳、体重下降、肝区不适时,及时就医。

