在抗癌这条路上,李姐(化名)自认是个不听话的“逃兵”。可偏偏,这个“逃兵”一次又一次被拽回了战场——被家人,被医生,也被那一丝从未熄灭的求生欲。
故事要从15年前说起。
李姐来自内蒙古大草原。那一年,她因阴道干痛到当地医院检查。结果“宫颈癌”三个字,像一颗子弹,击穿了她的生活。

其实,她并非毫无预兆,2009年就曾有过接触性出血,可她并没往心里去。
宫颈癌根治术、放疗、化疗……一轮狂轰滥炸之后,她扛住了。癌细胞居然真的偃旗息鼓了。七年多,复查单上基本清清爽爽。这意味着过了“五年安全期”,基本就算“胜了”。
李姐也是这么想的。
于是,她开始放松警惕了。抽烟、喝酒、打麻将,烟雾缭绕的棋牌室里,她觉得自己和正常人没什么两样。日子嘛,就该这样热气腾腾地过。
可她不知道的是,癌细胞这东西,最“爱”趁虚而入。
那次是2017年,李姐因一场感冒,出现了久咳不愈。家里人觉得不对劲,催着她去医院。医生盯着她的片子看了很久,在得知李姐曾得过宫颈癌后,让她到大医院再检查一下。“医生说我肺上阴影特别多,可能有七八个。”
哈尔滨,天津,她跑了两座城市,得到了同一个答案:宫颈鳞癌肺转移。
那一刻,李姐崩溃到嚎啕大哭。她以为那场仗早就打完了。她以为七年没事,就是一辈子没事。她以为……可癌细胞不这么以为。
接下来的三年,是痛苦的三年。全身化疗,恶心、呕吐、脱发、乏力,一样没落下。更绝望的是,一边受着罪,一边看着复查报告上的结节——增大、增多。
后来,耐药了,咳嗽也止不住。李姐自己都觉得,这样一天天挨着,简直就像在等死似的。但女儿不甘心。她不信,偌大的世界,就没有更好的法子?
辗转间,她通过长春的朋友,听说了一种叫“冷冻消融”的技术。这位朋友曾到日本做了同样的治疗,效果不太理想,回国后找到广州复大肿瘤医院的牛立志院长,又做了一次冷冻消融,这次终于收获了满意的效果。
女儿听得心里一动,像在黑暗里看到了一丝光亮。2021年10月,李姐南下广州,来到复大。心里却忐忑自己这么严重,不知道能不能治。
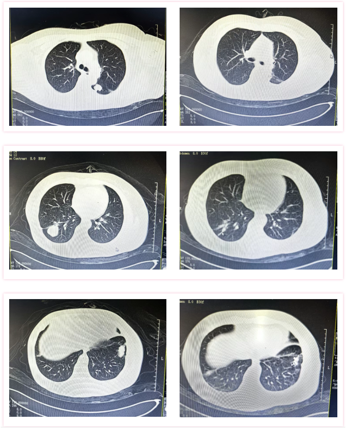
“双肺多发转移瘤,临近右下肺动脉、叶间胸膜、胸壁胸膜粘连……”针对李姐的病情,医疗团队先后为她实施了2次肺转移瘤冷冻消融术,并同步穿刺活检,活检结果再次证实为:原宫颈癌转移。
术后李姐配合化疗及免疫治疗。在之后的一年多,她的病情控制稳定。但一稳定,李姐的心思又开始“活络”了:稳定了不就好了吗?那就不用再治疗了。
结果,2024年1月,肿瘤又长大了。
李姐再次返回复大,接受第3次冷冻消融。可结节太多,部分结节还是有所增大,她又先后进行了3次碘粒子植入,肿瘤总算有所缩小。可主管医生刚建议再做介入化疗巩固一下,李姐的“逃跑计划”又启动了。

△三次碘粒子植入前(左图)后(右图)对比
“我之前看到别的患者做介入,反应大……我怕。”这一次,她真的想放弃了。一次又一次,反反复复,她累了。
直到某一天,李姐接到主管医生杨婷的电话。电话那头的声音,还是那么亲切温和,那么不急不缓:“李姐,治疗时间到了,该过来了。”
就这一句话,她愣了很久。身边的家人还在劝说,那一刻她想着,孩子还小,她还年轻,别人七八十还在治,她为什么不再坚持?
介入并没有她想象中那么可怕,结果也令她意外:双肺转移瘤缩小了,淋巴结也缩小了,这么多年的咳嗽,也不怎么咳了。“那位介入科钟小军主任知道我特别害怕,就跟我唠嗑,我都还没反应过来,就做好了。”
十五年了,李姐就像打了三场仗。第一场,打赢了,她飘了;第二场,打输了,她差点放弃;第三场,打到现在,还在打。她当过“逃兵”,又一次被拽回了战场。而这一次,她终于看见了胜利的曙光。


